Press Releases

July 19, 2013

If You're Not Looking for It, You Probably Won't See It

Boston—If you were working on something at your computer and a gorilla floated across your computer screen, would you notice it? You would like to think yes, however, research shows that people often miss such events when engaged in a difficult task. This is a phenomenon known as inattentional blindness (IB). In a new study from Brigham and Women’s Hospital (BWH) in Boston, researchers have found that even expert searchers, operating in their domain of expertise, are vulnerable to inattentional blindness. This study published this week Psychological Science.  


“When engaged in a demanding task, attention can act like a set of blinders, making it possible for stimuli to pass, undetected, right in front of our eyes,” explained Trafton Drew, PhD, post-doctoral researcher at BWH and lead author on this study. “We found that even experts are vulnerable to this phenomenon.” 

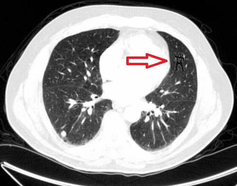
The researchers asked 24 radiologists to perform a familiar lung nodule detection task. They examined five scans; each scan contained an average of 10 nodules. A gorilla, 48 times larger than the average nodule, was inserted in the last scan. The researchers found that 83 percent of radiologists did not report seeing the gorilla. With the help of Melissa Le-Hoa Vo, post-doctoral researcher at BWH, the researchers tracked the eye-movements of the radiologists and found that that the majority of those who missed the gorilla looked directly at it. 

“The radiologists missed the gorillas not because they could not see them, but because the way their brains had framed what they were doing. They were looking for cancer nodules, not gorillas,” explained Jeremy Wolfe, senior psychologist and director of the Visual Attention Laboratory at BWH. “This study helps illustrate that what we become focused on becomes the center of our world, and it shapes what we can and cannot see.” 

The researchers note that it would be a mistake to regard these results as an indictment of radiologists and stress that even this high level of expertise does not immunize against inherent attentional limitations of what we perceive. The results suggest that even expert searchers typically only see what they are looking for, and are often unaware of the unexpected. The researchers hope that the results will lead more expert searchers to recognize the important role of attention in determining what the searcher will find and what they may miss. 

This work was funded by a NRSA post-doctoral fellowship from the NIBIB to TD.